부천서울이로운치과 까맣게 변한 앞니때문에 고민이라면

안녕하세요 🙂
밝고 환한 미소를 되찾아 드리기 위해
언제나 노력하는
부천서울이로운치과 대표원장 이경중입니다.
치아 변색은 말 그대로
치아의 색이 변하는 현상으로
노란색, 갈색, 회색으로 변할 수 있는데요.
특히 앞니는
눈에 띄기 쉬운 위치에 있기 때문에
색이 변하게 된다면
외관상 좋지 않을 뿐 아니라
사람에 따라 콤플렉스가 되기도 합니다.
색이 변하는 원인은 매우 다양한데요.
ㅡ 담.배
담.배 속에 있는 니코틴 성분이 치아에 착색되어
변색을 유.발하는데,
흡.연으로 인한 변색은
칫솔질로도 쉽게 제거되지 않습니다.
ㅡ 음식
대표적으로 커피, 와인, 녹차, 콜라 등의 음료는
색소가 강하기 때문에 치아에 착색되기 쉬우며
짙은 색을 띠는 카레와 같은 음식도
자주 섭취하게 될 경우 착색될 수 있습니다.
ㅡ 교정
장기간의 교정 장치 사용으로
장치 주변은 청소가 어려워
색소침착이 더 쉽게 일어나며,
치태 관리가 쉽지 않기 때문에
교정 후 앞니 색이 변하거나
부분적으로 하얗게 얼룩진 탈회가
생길 수 있습니다.
ㅡ 외상
외부 충격으로 인해
치아 신경이 손상되게 되면
치아색이 검거나 회색빛으로 나타날 수 있습니다.
이 외에도 약물복용,
불소 과다 섭취 등으로 인해서도
치아색이 변할 수 있는데요.
치아가 변색되었을 때는
치과에 내원하시어 전문적인 상.담을 통해
구강 내 상황에 맞는 적절한 방법을 선택하여
치.료를 진행하는 것이 필요합니다.
오늘은 앞니 치아 변색으로 인해
부천서울이로운치과를 내원해 주신
환.자분의 사례를 소개해 드리겠습니다.

소개해 드릴 환.자분께서는
20대 여성분으로
예전에 위턱 앞니 신경치료를 진행하셨는데
치아 색이 달라져 이를 씌워야 한다고 들었다며
부천서울이로운치과를 찾아주셨는데요.

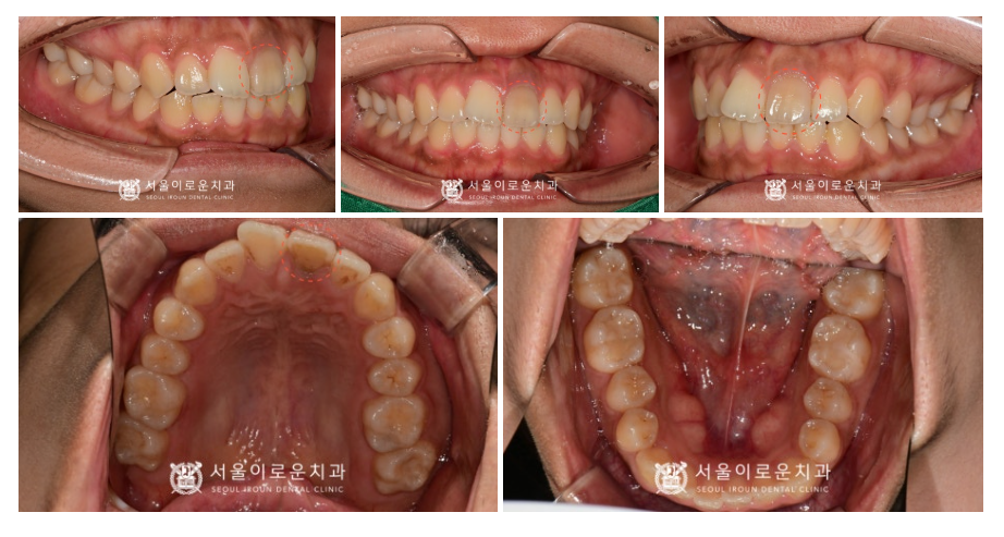
위턱의 왼쪽 위 큰 앞니가(#21)
신경치료되어 있는 상태로
치.아 변색이 관찰되었는데요.
이를 해결하기 위해서는
크라운 수복도 치료법 중 하나이긴 하지만
환.자분께서는 아직 20대 초반의
젊은 여성분이시라
치아 삭제를 가급적 하지 않고
변색을 개선할 수 있는
실활치 미백을 권해드렸습니다.
실활치란
신경의 생활력이 없어진 치아로
신경치료 후 치아 내부에 미백 약제를 투입하여
색을 밝게 만드는 치료를
실활치 미백이라고 하는데요.
우리가 일반적으로 생각하는 미백은
치.아 겉면에 미백제를 도포한 후
광선을 조사하지만
실활치미백은 치.아 내부에 미백 약제를 주입하여
밝게 만든다는 차이가 있습니다.
신경치료 후 크라운 수복을 통해
변색을 해결할 수도 있지만
크라운 치료는 실활치 미백 후에도
심미적으로 더 개선을 원할 시
할 수 있는 치료이기 때문에
환.자분과 상.담을 진행한 후
실활치미백을 진행하기로 하였는데요.

환.자분의 경우
이미 예전에 신경치료를 받은 치.아였지만
타진 시 통.증이 있으셨고,
스탠다드 x-ray사진으로 확인한 결과
뿌리 끝까지 충전이 제대로 이루어지지 않아
재신경치료가 필요하였답니다.

꼼꼼하게 재신경치료를 진행하고,
뿌리끝까지 약제가 충전된 것을 확인한 뒤
실활치 미백을 2회 시행하였습니다.

재신경치료 후
2회의 실활치미백이 마무리 된 모습으로,
변색이 눈에 띄게 많이 개선된 것을
확인하실 수 있습니다.
환.자분께서도 만.족해하시어
크라운 치료 없이 실활치 미백 후
레진으로 보강하여
치료를 마무리해 드렸답니다!
환.자분께서는 변색된 앞니가 개선되어
만.족해 하셨고,
특히 크라운 치.료를 염두에 두시고 오셨었는데
치.아삭제 없이 색상이 개선되어
만.족해 하셨습니다.
또한 타진 시 나타났던 통.증도 사라지셔서
만.족해 하셨습니다.

(2023.02.11ㅡ>2023.03.07)
이렇게 부천중동추천치과 서울이로운에서
치.료를 도와드린 환.자분의 사례를
소개해드렸습니다!
그런데 간혹 실활치미백이
신경치료 후 진행하는 미백이기 때문에
크라운을 하지 않아도 되는지
궁금해하시는 분들도 있으신데요.
어금니의 경우 신경치료 후
재감염의 방지 및
약해져 있는 치아의 파절을 막기 위해
크라운 수복을 통해
치.아를 보호해 주는 것이 필요하지만
앞니의 경우
상대적으로 씹.는 힘을 덜 받기 때문에
치.아 상태에 따라 신경치료 후
크라운 수복 없이 레진으로 보강하여
마무리하는 경우가 있답니다.
다만 신경치.료 후에는
치.아의 변색이 나타날 수 있어
이 때 실활치미백이
변색을 해결하는 좋은 방법 중 하나입니다.
치아의 변색에는 여러 원인이 있지만
특정치아의 색이 주변 치아에 비해
눈에 띄게 다르게 보이신다면
신경에 문제가 있거나,
위 사례의 환.자분과 같이
이전에 신경치료를 받은 치.아에
변색이 있는 것이니
서울이로운치과에 내원하시어
검진을 받아보시는 것이 좋습니다.
어느날 거울을 봤는데
검게 변색 된 치아로 인해
놀라셨다면?
부천중동추천치과 서울이로운치과에
내원해주시면,
치아 변색에 대한 원인을 찾아
그에 맞는 적절한 치료를 통해
밝고 깨끗한 치아를
찾아드리겠습니다.
.
.
.
* 모든 증례 사진은 의료법 제23조,
제56조에 의거하여,
당사자의 동의하에 게시하였습니다.
* 치.료 사진은 모두 본.원에서 치료한
환.자분의 사진입니다.
* 치.료 사진은 모두 동일인의 사진이며,
동일조건에서 촬영하였습니다.
* 개인의 차이에 따라
시.술 및 수술 후 부작용이 발생할 수 있으며,
의료진과 충분한 상.담을 받으시기 바랍니다.