부천서울이로운치과 전반적인 치료를 도와드린

안녕하세요.
언제나 환.자분의 Needs(니즈)를 먼저 생각하는
서울이로운치과 대표원장 이경중입니다.
치과 보철물의 수명은 평균적으로 5~8년으로
물론 개인 관리에 따라
편차가 있을 수는 있는데요.
보철물이 오래되면
치아와 보철물 사이에
미세한 틈이 생겨
그 안으로 음식물 찌꺼기와 같은 이물질,
그리고 세균들이 들어가게 되면서
충치가 다시 생기게 되는
2차 우식이 발생할 수 있습니다.
그렇기에 정기적인 검진을 통해
항상 체크해주는것이 필요하답니다!
오늘은 다수 치아의 불편감으로
서울이로운치과를 내원해 주신
환.자분의 사례를 소개해 드리겠습니다.

오늘 소개해 드릴 분은
50대 여성분으로
왼쪽 아래 어금니 잇몸이 붓고
씹.을 때도 아프시고,
차가운 거 먹으면 치아가 시리다며
전체적으로 검사를 원하셨는데요.
지인의 소개를 받고
저희 서울이로운치과를 찾아주셨다고 합니다.
정밀한 검사를 위해
파노라마 사진을 촬영해 보았더니,
제일 불편감을 호소하셨던
빨간 동그라미 표시의
왼쪽 아래 어금니(#35,37) 부위는
기존 브릿지 보철물이
수복 되어 있는 상태였습니다.
보철물 주변 잇몸뼈가
많이 흡수되어 있는 상태로
동요도가 2도 이상으로 많이 흔들려
안타깝게도 살려 쓰기에는 힘든 상황이라
발치 후 임플란트 식립을 계획하였습니다.
또한 보라색 화살표 부위의
사랑니가 4개 모두
맹출이 되어 있었는데요.
사랑니가 맨 안쪽에 위치해 있다 보니
위생관리가 잘되지 않고 있어
추후 다른 치아에까지
영향을 끼칠 것을 고려하여
사랑니 모두 발치를 진행하기로 하였습니다.

그리고 환.자분께서 내원 당시
찬물에 치아가
많이 시리다고 말씀해 주셨는데요.
확인해 보았더니 주황색 화살표 부위의
치아 허리 부분에 해당하는
치경부가 많이 닳아 있는
치경부마모증이 있었습니다.
치경부 마모증이란
치.아와 잇몸 사이 경계면이
V자 모양으로 패어 있는 상태로
닳아져 있는 정도에 따라
간단하게 치과재료 충전으로
마무리할 수도 있지만
심한 경우 신경치료를 동반한 크라운 수복,
또는 치아가 부러져 발치를 해야 하는
상황이 올 수도 있는데요.
정밀한 진.단을 위해
air test와 ice test 시행해 보았더니
민감한 반응을 보이셨지만
다행히 닳아져 있는 정도가 심하지 않아
치과용 재료로
충전치료를 도와드리기로 하였습니다.

마지막으로
노란색 동그라미 표시의 치아들엔
우식이 발견되었는데요.
왼쪽 위 첫 번째 큰 어금니(#26)와
오른쪽 아래 큰 어금니 두 개(#46,47)는
기존 아말감 파절로
기존 충전물이 일부 파절되면서
주변으로 2차 우식이 관찰되었습니다.
또한 오른쪽 아래 두 번째 작은 어금니(#45)는
치.아 원심면에 우식이 보였습니다.
위와 같은 케이스는
다시 같은 수복물로 재 충전하기에는
범위가 크고 탈락의 위험이 있어
본 떠서 치아에 접착해 드리는
인레이 치료를 진행하기로 계획하였습니다.
전반적으로 치석 침착으로 인한
치주염이 관찰되어 치료에 앞서
스케일링을 통한 잇몸치료를
먼저 시행하였습니다.
그리고 제일 불편감을 호소하셨던
왼쪽 아래 브릿지 보철물(#35,37)로
수복된 치아를 발치하고나서
주변 염증조직을 깨끗하게 제거한 뒤
뼈이식을 동반하여
임플란트 즉시 식립을 진행하였습니다.

발치 후 즉시 식립을 하게 되면
잇몸 조직의 손상과 출혈, 붓기도 적어
통증도 감소되며
치료 기간이 단축되는 장점이 있는데요.
임플란트 즉시 식립은
누구에게나 다 적용되는 것은 아니며,
구강 내 상황을 정밀하게 체크한 뒤
의료진의 판단하에
즉시 식립 여부를 결정하게 됩니다.
발치 후 즉시 임플란트를 진행하는 날
왼쪽 위아래 사랑니(#28,38)도
같이 발치를 진행하였으며,
왼쪽 잇몸이 어느 정도 아문 뒤
오른쪽 사랑니(#18,48)도
발치를 도와드렸고,
임플란트와 주변 치조골이
단단하게 결합되기를 기다리는 동안
다른 치료를 도와드렸는데요.

완벽한 방습을 통해
꼼꼼하게 충전을 도와드렸고,
우선 보험재료로 충전해서
시린 증.상의 변화를 관찰하기로 하였습니다.

더불어 4개의 치아 (#26,45,46,47) 모두
치.아색과 동일한 인레이 재료로
수복을 도와드리면서
전보다 훨씬 더 심미적으로
구강환경이 바뀐 것을 확인할 수 있습니다.
그리고 다른 치료를 진행하는 동안
충분한 시간이 흘렀는데요.
임플란트 식립 2달 반 후
osstell beacom이라는
골 유착을 확인할 수 있는 장비를 활용해
골 유착 정도가 안정 값임을 확인하고
보철 과정을 진행하였습니다.

부천서울이로운치과에서는
구강 스캐너를 이용하여
보철물 작업을 위한
인상 채득을 시행하고 있는데요.
구강 스캐너를 이용하여
인상을 채득을 함으로써
환.자분께서 인상재로 인한
불편감을 느끼지 않아도 되며,
인상의 오차가 적고 속도가 빠르며
보철물 제작시간이 단축된다는
장점이 있답니다.

임플란트와 크라운을 연결할 때
기둥 역할을 하는 지대주인 abutment를
환.자분 구강 내 상황에 맞는
맞춤형 지대주인
custom abutment를 체결한 뒤
자연치아의 강도와 제일 유사하고
심미적인 지르코니아 크라운으로
임플란트 보철 과정을 마무리하였습니다.

임플란트 / 사랑니 발치
치경부 마모증 / 인레이
치료를 모두 마무리 한 모습입니다.
환.자분께서는
발치 후 임플란트 즉시 식립을 통해
통.증도 사라지고,
치료기간도 단축되어 만.족해하셨고,
시린 증.상이 많이 완화되어
만.족해하셨습니다.
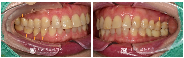
✅ 전 > 후 ✅

(2023.02.02ㅡ>2023.07.15)
이렇게 부천서울이로운치과에서
다수의 치아의 치료를 도와드린
환.자분의 사례를 소개해 드렸는데요.
임플란트 치료가 활발하지 않던 시기에는
치아가 상실된 부위를 수복하는 방법으로
브릿치 치료를 많이 했었는데요.
하지만 치아가 3개가 해야 할 역할을
2개가 나누어 하기 때문에
임플란트에 비해 역학적으로 좋지 못하고,
상실된 치아 수복을 위해
멀쩡한 양옆의 치아를 다듬어야 하는
단점이 있답니다.
그렇게 때문에 치아를 발치하고
수복하는 과정에 있어
보철치료 방법에 대한 장단점에 대해
의료진과 충분한 대화를 한 후
그에 맞는 적절한 치료를 하는 것이 중요합니다.
저희 서울이로운치과에서는
진.단 및 치료 계획 상.담시
환.자분과 충분한 대화를 통해
치료의 필요성 및 치료의 장단점,
치료 기간 등을 상세히 안내드리려고
노력하고 있습니다.
그리고 소중한 치아는 문제가 생겼을 때
자연치유가 되지 않기 때문에
신속한 치료를 통해 더 나빠지지 않도록
해주는 것이 중요한데요.
치아에 문제가 생겼을 때는 방치하지 마시고
늦지 않게 서울이로운치과로
내원해주시길 바랍니다. 감사합니다.
.
.
.
* 모든 증례 사진은 의료법 제23조,
제56조에 의거하여,
당사자의 동의하에 게시하였습니다.
* 치.료 사진은 모두 본.원에서 치료한
환.자분의 사진입니다.
* 치.료 사진은 모두 동일인의 사진이며,
동일조건에서 촬영하였습니다.
* 개인의 차이에 따라
시.술 및 수술 후 부작용이 발생할 수 있으며,
의료진과 충분한 상.담을 받으시기 바랍니다.