부천시청역치과 다수치아의 불편감을 해소시켜드린

안녕하세요.
가족과 같은 마음으로 진료하는
서울이로운치과 대표원장 이경중입니다.
치과를 찾는 가장 큰 원인으로는
충치와 치주 질환이 많은데요.
치료의 골든타임을 놓치게 된다면
발치 후 임플란트와 같은
치료를 진행하기도 하지만
치아를 살릴 수 있는 경우라면,
충치 진행 범위와 부위에 따라
우식 된 부분을 제거하고
레진, 인레이, 크라운 치료를 받기도 합니다.
그런데 이미 통증이 시작된 단계라면
신경까지 충치가 진행되었을 가능성이
높기 때문에
이 경우에는 신경치료를 동반한
크라운 수복을 진행하게 됩니다.
오늘은 서울이로운치과에서
임플란트 식립과
크라운 수복을 도와드린
환.자분 사례를 소개해 드리겠습니다.

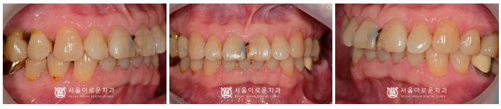
오늘 소개해 드릴 분은
60대 남성분으로
오른쪽 위 작은 어금니가 아프고,
위 앞니에도 충치가 있는 것 같다며
저희 치과를 찾아주셨는데요.
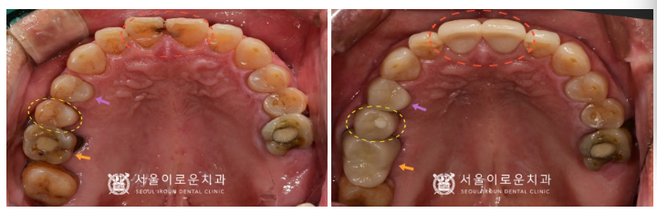
노란색 동그라미의
오른쪽 위턱 두 번째 작은 어금니(#15)의
뿌리 주변으로 잇몸뼈가
많이 흡수되어 있었으며,
충치도 심한 것을 확인할 수 있었습니다.
이 경우 살려 쓰기 어려울 것으로 판단되어
안타깝지만 발치가 필요한
상황이었습니다.

그리고 보라색 화살표의
오른쪽 위턱 첫 번째 작은 어금니(#14) 또한
통.증을 호소하셨는데요.
충치가 치아의 허리 부분에 해당하는
치경부 깊이 진행되어 있어
신경치료 후 크라운 치료가 필요하였습니다.
또한 주황색 화살표의
오른쪽 위턱 첫 번째 큰 어금니(#16)는
예전에 신경치료까지만 진행이 되어있고
크라운 수복을 하지 않은 상태였는데요.
그렇다 보니 레진 경계부에
이차우식이 진행되어
크라운 치료가 필요하였습니다.

그리고 마지막으로
환.자분께서 말씀하셨던
빨간색 동그라미의 앞니(#11,12)
충치 부분은
그냥 육안으로 보기에도
두 개의 치아 사이에
까맣게 충치가 생긴 것을
확인할 수 있었는데요.
다행히 충치가 신경까지
진행이 되지 않은 상태라
신경치료는 하지 않아도 되는 상황이었지만
충치가 있는 치아머리 일부를 삭제하고 나면
잔존 치질량이 얼마 되지 않아
치아가 약해지기 때문에
충치 제거 후 레진으로 보강한 뒤
크라운 치료를 계획하였습니다.

오른쪽 위턱 두 번째 작은 어금니(#15)는
발치 후 염증조직을 깨끗하게 제거하고
소독한 후에 뼈이식을 동반한
임플란트 즉시 식립을 도와드렸는데요.
발치 후 즉시 식립을 하게 되면
잇몸 조직의 손상과 출혈, 붓기도 적어
통.증도 감소되며 무엇보다
치료 기간이 단축되는 장점이 있답니다.
* 하지만 모든 케이스에
다 가능한것은 아니며,
구강 내 상황을 정밀하게 체크하여
의료진의 판단하에
즉시 식립 여부를 결정하여야 합니다.

그리고 오른쪽 위턱 첫 번째
작은 어금니(#14)도
뿌리 끝까지 깔끔하게
신경치료를 마무리해 드렸습니다.

또한 오른쪽 위턱 첫 번째 큰 어금니(#16)와
앞니(#11,12) 모두
충치를 말끔하게 제거한 뒤
레진으로 보강하여
크라운 치료를 도와드렸습니다.

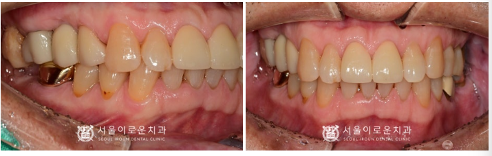
임플란트와 크라운 보철 치료가
마무리 된 사진입니다.
환.자분께서는
통증이 사라지고,
앞니가 자연럽고 예쁘게 되었다며
치료 후 정말 만.족해하셨답니다!
✅ 전 > 후 ✅

(2024.06.07ㅡ>2024.11.23)
이렇게 부천시청역치과
서울이로운치과에서
임플란트 식립과 크라운 치료를 진행하신
환.자분 사례를 소개해 드렸는데요.
전체적으로 치주 관리가 잘 안되고 계시고
다른 치아들도 치료가 필요해 보여
언급해 드렸지만
당장의 불편감이 없으셔서
치료는 원하지 않으셨는데요.
스케일링을 포함한 정기적인 검진을 통해
치아 관리를 도와드리기로 하였습니다.
서울이로운치과에서는
모든 치료가 마무리된 이후에도
다른 문제가 발생하지 않도록
체계적인 사후관리 시스템으로
관리해 드리고 있습니다!
다수의 치아 불편감으로
힘들어하고 계신다면
부천시청역치과
서울이로운치과에 내원하시어
체크를 받아보시길 바랍니다.
정밀한 진.단과
개개인에 맞는 적합한 치료로
불편감 해소를 도와드리겠습니다!
.
.
.
* 모든 증례 사진은 의료법 제23조,
제56조에 의거하여,
당사자의 동의하에 게시하였습니다.
* 치.료 사진은 모두 본.원에서 치료한
환.자분의 사진입니다.
* 치.료 사진은 모두 동일인의 사진이며,
동일조건에서 촬영하였습니다.
* 개인의 차이에 따라
시.술 및 수술 후 부작용이 발생할 수 있으며,
의료진과 충분한 상.담을 받으시기 바랍니다.