부천시청역치과 어금니의 기능회복을 위해

안녕하세요.
수준 높고 편안한 진료로 보답하는
서울이로운치과 대표원장 이경중입니다.
치아는 각 부위마다 역할이 다른데요.
그 중 어금니는 음식을 잘게 부수고
저작기능을 담당하는 핵심부위로
어금니를 상실하게 되면
씹.는데 불편감은 물론이며
정상적인 식사가 힘들어
영양불균형과 소화불량으로까지
이어질 수 있습니다.
상실된 어금니의 기능을 회복하기 위해서는
자연치아와 유사한 저작력을 가진
임플란트를 고려해볼 수 있는데요.
임플란트는 잇몸뼈에
치아 뿌리 역할을 하는
픽스처(Fixture)를 식립하여
치아 모양의 보철물을 연결시킴으로써
자연치의 기능과 심미적인 부분을
보완할 수 있는 치료입니다.
오늘은 양측 어금니 불편감으로
부천시청역치과
서울이로운치과를 내원해 주신
환.자분의 사례를
소개해 드리겠습니다.

오늘 소개해 드릴 분은
60대 여성분으로
위턱의 양측 어금니가
씹.을때마다 아프고 불편하며,
상실된 오른쪽 두번째 큰 어금니는
임플란트 상.담을 원하셨습니다.

정밀한 검사를 위해
파노라마 사진을 촬영해 보았더니,
✅ 노란색 동그라미 표시의
위턱 왼쪽 큰 어금니 두 개(#26,27)는
심한 치주염으로 인해
2도 동요도를 보이고 있었는데요.
치아 뿌리를 잡고 있는 잇몸뼈가
염증으로 인해 흡수가 많이 되어 있어
살려 쓰기 힘들 것이라 판단되어
안타깝게도 발치 후
임플란트를 계획했습니다.
✅ 빨간색 동그라미 표시의
위턱 오른쪽 두 번째 큰 어금니(#17)는
발치하신지 상당 기간 지났으며,
잇몸뼈에서 상악동까지의
수직적 거리가 충분하여
별도의 뼈이식 없이
임플란트 식립을 계획하였습니다.
✅ 주황색 화살표 표시의
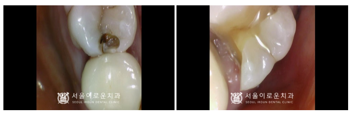
위턱 오른쪽 첫 번째 큰 어금니(#16)는
치아 사이 부분에 충치가 보였는데요.
이 충치로 인해 환.자분께서 평소
저작 시 날카로운 통.증을 보이셨습니다.
우선 충치 부위만 제거한 뒤
본을 떠서 부착시키는
인레이 치료로 계획하였는데요.
충치 제거 후 치료 계획이 변경될 수 있음을
미리 환.자분께 설명해 드리고
치료를 시작하였습니다!

그리고 왼쪽의 경우엔
잇몸뼈와 상악동까지의
수직적인 뼈의 양이 부족하여
상악동 거상술 중
치조정 접근법을 활용하여
임플란트 식립을 진행하기로 하였습니다.
* 위턱 어금니와 광대 사이에
빈 공간으로 이루어진
상악동은 개인에 따라
크기와 모양이 다르며,
상악동과 잇몸뼈 사이에
임플란트를 심을 만큼의 뼈가 없는 경우에는
상악동 점막을 위로 들어 올린 후
잇몸뼈를 채워 넣어
임플란트 식립을 진행하는
상악동 거상술이 선행되어야 합니다.
상악동 거상술 방법 중
하나인 치조정 접근법은
잔존 잇몸뼈에서 상악동까지의
수직적 높이가 3mm 이상인 경우
가능한 상악동 거상술 방법입니다.

위턱 왼쪽 어금니 두 개(#26,27)는
발치 후 염증조직을
깨끗하게 제거하고
발치 후 상악동 거상술(치조정 접근법)을
동반한 임플란트 즉시 식립을
도와드렸는데요.
뼈이식 후 뼈가 빠져나오지 않고
안정적으로 자리 잡고
잘 아물 수 있도록
차폐막으로 덮어
꼼꼼하게 봉합해 드렸습니다.
위턱 오른쪽 두 번째 큰 어금니(#17)는
별도의 뼈이식 없이
임플란트를 식립하였습니다.

양측 임플란트 식립 후 3~4개월 뒤
osstell beacon이라는
골 유착을 확인할 수 있는
장비를 이용하여
isq 측정하여 뼈와 임플란트가
잘 결합한 것을 확인한 뒤
보철 과정을 진행하였는데요.
인상 채득시 환.자분께서
인상재로 인한 불편감을 느끼지 않아도 되고
인상 오차가 작고, 속도가 빠르며
보철물 제작시간을 단축시킬 수 있는
구강 스캐너를 이용하여
인상 채득을 도와드렸으며,
환.자분 구강 내 상황에 맞는
맞춤형 지대주인
custom abutment를 체결하여
자연치아와 강도가 가장 유사하고
심미적인 지르코니아 크라운으로
임플란트 보철을 마무리하였습니다.

그리고 위턱 첫 번째 큰 어금니(#16)는
충치를 제거한 뒤 확인해 보았더니
치아에 금이 관찰되어
처음 계획했던 인레이 진행이
어려울 것으로 판단되었는데요.

신경치료 + 크라운 수복으로
계획을 변경하였고,
뿌리 끝까지 깔끔하게
신경치료를 마무리한 뒤
크라운 수복까지 성공적으로 도와드렸답니다.

임플란트 / 신경치료 + 크라운수복
치료를 모두 마무리 한 모습입니다.
환.자분께서는 치료 전
치아가 흔들리고
씹.을때 아팠던 상태가 사라져
만.족해 하셨으며,
위턱 오른쪽 첫 번째 큰 어금니(#16)의 경우
씹.을때와 차가운 음식을 먹을 때
통증이 모두 사라졌다며 만.족해 하셨습니다.
✅ 전 > 후 ✅

(2024.03.02ㅡ>2024.08.15)
이렇게 부천시청역치과
서울이로운치과에서
임플란트, 신경치료 + 크라운 치료를
도와드린 환.자분의 사례를
소개해 드렸는데요.
잇몸질환의 경우 환.자분들이
불편감을 느끼기 시작할 때 즈음엔
이미 치아 주변 잇몸뼈가
많이 안 좋아진 상태인 경우가 많은데요.
이런 경우 잇몸치료를 하면서
치아를 좀 더 살려서 쓸 수 있는 경우도 있지만
안타깝게도 발치를
해야만 하는 경우도 많습니다.
그렇기 때문에
평소 잇몸 상태에 관심을 가지고,
지속적이고 정기적인
스케일링 및 검진을 통해
구강관리를 해주시는 것을 권해드립니다.
더불어 충치 또한 진행 범위와 증.상에 따라
치료법이 달라질 수 있는데요.
통.증이 없는 구강 내 작은 충치라도
소홀히 하지 마시고
치과에 내원하시어
정기적인 검사를 통해
충치가 더 진행되지 않았는지
꼭 확인하시길 바랍니다.
저희 서울이로운치과에서는
환.자분의 구강 상황에 맞게
가능한 안.전하고 정석적인
치료를 지향하고 있습니다.
내 치아에 조금이라도
이상한 낌새가 보인다면
미루지 마시고 빠른 시일 내에
서울이로운치과로 내원해주시길 바랍니다.
.
.
.
* 모든 증례 사진은 의료법 제23조,
제56조에 의거하여,
당사자의 동의하에 게시하였습니다.
* 치.료 사진은 모두 본.원에서 치료한
환.자분의 사진입니다.
* 치.료 사진은 모두 동일인의 사진이며,
동일조건에서 촬영하였습니다.
* 개인의 차이에 따라
시.술 및 수술 후 부작용이 발생할 수 있으며,
의료진과 충분한 상.담을 받으시기 바랍니다.