부천시청역치과 파절된 치아를 살리기 위하여

안녕하세요.
이로운 진료를 전하는
부천시청역치과 서울이로운치과
대표원장 이경중입니다:)
우리의 치아는 음식을 잘게 씹어서
소화가 잘 되도록 도와주는 역할을 하며,
구강 내에서 여러가지
기능적인 역할과 심미적인 역할을
지니고 있습니다.
하지만 이러한 치.아가
충격이나 외상 등으로 인해
금이 가게 된다면?
음식을 씹을 때 이가 시리거나
찌릿한 느낌을 받게 됩니다.
치아는 자연적으로
회복이 불가능하기 부위이기 때문에
금이 간 치아를
그냥 방치하고 두게 되면
틈 사이로 충치가 생길 수도 있고,
범위가 더 커지고 약해지면서
치.아가 파절되는 경우도
생길 수 있습니다. (ㅠㅠ)
그리고 파절된 부위가
치아 머리 부분에만 국한된 경우도 있지만,
심한 경우 치아의 뿌리까지도
손상이 되어
발치가 불가피한 상황도 올 수 있으므로
증.상이 있다면,
조기에 치과에 내원해주시는 것이 필요합니다.
오늘은 부천시청역치과 서울이로운치과에서
치.아 파절로 신경치료 후
크라운 수복을 도와드린
환.자분의 사례를 소개해 드리겠습니다.

오늘 소개해 드릴 분은
60대 여성분으로
왼쪽 위 어금니 쪽으로 딱딱한 걸 먹었는데
치아가 갈라져서 흔들리고 아프시다며
본.원을 찾아주셨습니다.
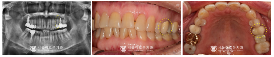
파노라마 사진상으로는
파절 양상이 확연하게 보이진 않지만
구강 내 체크를 해보았더니
위턱 왼쪽 두 번째 작은 어금니가(#25)
뿌리 부분까지 둘로 쪼개져 있는 것을
확인할 수 있었습니다.

이 경우 예후가 좋지 않아
발치 가능성이 높음을
환.자분께 충분히 설명드렸지만
환.자분께서는 치.아를 조금이라도
더 살려 사용하시길 원하셨는데요.
환.자분과의 상.담 끝에
신경치료를 진행하고
파절된 치아 부분을 채워주기 위해
post라 불리는 기둥을 세운 뒤
치과용 재료로 충전한 후,
크라운을 수복하기로
치료계획을 수립하였습니다.
치아를 살려 쓰는 방향으로 계획하여
치료를 시작하였습니다!

우선 위턱 왼쪽 두 번째 작은 어금니(#25)의
조각난 치아 부분을 제거 후
꼼꼼하게 신경치료를 완료한 뒤
Post(기둥)을 세워 레진으로 보강하였고,
크라운 제작을 위해 치.아를 다듬었습니다.

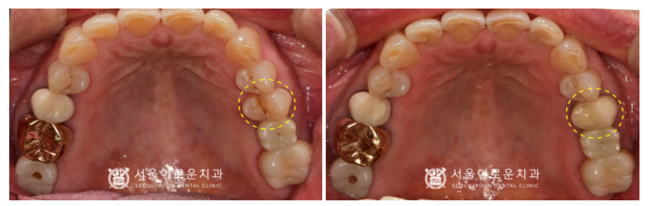
크라운 보철물 치료가 마무리 된 모습의
파노라마 사진과 구강 내 사진입니다.
치료 마무리 후에는
파절된 치아를
오래 유지할 수 있도록
앞으로 질기고 단단한 음식은
가능한 피해주시길 부탁드렸습니다.
환.자분께서는
통증이 사라져 만.족해 하셨고,
무엇보다 발치 없이 치.아를 살려 쓸 수 있어
만.족했다고 말씀해 주셨습니다.

더불어 불편감이 있으셨던
해당 치아뿐만 아니라
아래턱 오른쪽 두 번째 작은 어금니(#45)
치아 사이에 충치가 심하여
치료의 필요성에 대해서
환.자분께 설명드렸는데요.
환.자분께서는
지금 당장 불편하지 않으시다며
추후 진행하시길 원하시어
해당 부위는
정기 체크를 진행하기로 했습니다.
✅ 전 > 후 ✅

(2024.01.22 ㅡ> 2024.03.02)
이렇게 부천시청역치과 서울이로운치과에서
자연치를 살려 쓸 수 있도록
파절된 치아에
신경치료+크라운수복을 도와드린
사례에 대해 소개해 드렸는데요.
차아 파절의 경우
파절의 범위 및 양상에 따라
살려서 쓸 수 있는 경우도 있지만
불가피하게 발치를
해야만 하는 경우가 있습니다.
발치 후 임플란트 치료는
지금이 아니더라도
향후에 해당 치.아가 다시 부러지거나
문제가 생겼을 경우
할 수 있는 치료이기 때문에
해당 케이스의 경우
발치 가능성이 있었지만
살려서 쓸 수 있을 것이라고 판단하여
그에 맞는 치료를 도와드렸습니다!
이처럼 서울이로운치과에서는
치아를 지키는 진료를 우선으로
가능한 경우라면
자연치아를 살리고 보존하기 위해
노력하고 있습니다.
치아에 금이 생겼거나
파절로 불편함을 느끼고 계신다면
보철치료를 도와드리는
서울이로운치과에 내원해주시면,
가장 이로운 방향으로 진료하여
치아를 회복할 수 있도록
최선을 다하겠습니다 🙂 !
.
.
.
* 모든 증례 사진은 의료법 제23조,
제56조에 의거하여,
당사자의 동의하에 게시하였습니다.
* 치.료 사진은 모두 본.원에서 치료한
환.자분의 사진입니다.
* 치.료 사진은 모두 동일인의 사진이며,
동일조건에서 촬영하였습니다.
* 개인의 차이에 따라
시.술 및 수술 후 부작용이 발생할 수 있으며,
의료진과 충분한 상.담을 받으시기 바랍니다.