부천중동치과 과거에 치료받은 충전물이 탈락했다면

부천중동치과

안녕하세요.
환.자들 입장에서 늘 생각하고 노력하는
서울이로운치과 대표원장 이경중입니다.

 

이전에 충치치료를 받았던 치아에서도
다시 충치가 생기게 되는 경우가 있는데요.
이를 2차 우식, 2차 충치라고 합니다.

 

2차 우식이란
과거에 아말감, 레진, 인레이, 크라운 등
치료를 받았던 치아 주변으로
다시 충치가 생기는 것을 말하는데요.

 

치료했던 부위 주위로
양치관리가 잘 되지 않았거나,
일생 생활에서 반복적인 저작, 이갈이,
이 악물기 등 물리적에 힘에 의해서
치아 주변에 균열이 생기거나,

 

마모되는 증.상 또는

부분적인 파손으로 인해

미세한 틈이 발생하게 되는데,

이 틈으로 세균들이 들어가게 되면서

2차 우식이 생기게 된답니다.

2차 우식이 생기게 되면
기존 충전물 안으로
충치가 진행되기 때문에
치아의 손상이 심해져 심한 경우에는
발치하는 경우도 생길 수도 있으며,

 

이미 신경치료가 진행되어 있는
치아의 경우에는
2차 우식이 진행되고 있어도
증.상을 자각하기 어렵기 때문에
발견이 늦어질 수도 있는데요.

 

그렇기 때문에 정기적인 검진은 물론이거니와
증.상이 있을 땐
빠른 시일 내에 내원하시어
적절한 조치를 취해주시는 것이 좋습니다.

 

오늘은 과거에 진행하였던
충전물 탈락으로 인해 통.증이 있으셔서
부천중동치과 서울이로운치과를

내원해 주신 환.자분의 사례를
소개해 드리겠습니다.

 

오늘 소개해 드릴 분은
50대 남성분으로

아래턱 왼쪽 어금니에 때웠던 게 빠졌고,
시리고 씹.을 때 아프시다며
본.원을 찾아주셨습니다.

 

 

정밀한 검사를 위해
파노라마 사진을 촬영하여
확인해 보았더니

 

빨간색 동그라미 표시의
아래턱 왼쪽 두 번째 큰 어금니(#37)
머리 부분이 까맣게 비춰보이는것을
확인할 수 있었는데요.

 

기존 수복물이 탈락되어 있었으며,
하방으로는 2차 우식이
깊게 진행되어 있었습니다.

 

 

x-ray 상 치아 안쪽 신경조직까지
충치가 진행되어 있는 상태로
신경치료 후 크라운 수복이 필요하였는데요.

 

환.자분과 꼼꼼하게 상.담을 진행한 후
신경치료 + 크라운 수복을
진행하기로 하였답니다.

 

 

그리고 위턱에도 시린 부위도 있다고도
말씀해 주셨는데요.

 

구강 내를 꼼꼼하게 확인해 보았더니
위턱 양측 첫 번째 작은 어금니(#14,24)의
치아 옆면이 쐐기 모양으로 패어있는
치경부 마모증이 관찰되었습니다.

 

치경부 마모증이란
치아와 잇몸이 만나는 부분인
치아의 목부분 일부가
V자나 U자 모양으로 패인 것으로

 

이로 인해 치아의 가장 단단한 부분인
법랑질이 마모되면서
안쪽의 약한 부분들이 노.출되어
외부 자극에 민감해지고
시린 증.상을 느끼게 됩니다.

 

환.자분께서도
위턱 양측 첫 번째 작은 어금니(#14,24)에서
차가운 자극과 바람에
매우 민감하게 반응하셨는데요.

 

다행히 마모가 신경까지 진행되어 있지 않아
패어 있는 부분을
치과용 재료인 레진을 활용하여
수복해 드리기로 하였습니다.

 

 

 

제일 먼저 전반적인 치석 침착으로 인한
치주염이 관찰되어
전체 스케일링을 도와드렸으며,

 

아래턱 왼쪽 두 번째 큰 어금니(#37)의
충치를 남김없이 깨끗하게 제거한 후
감염된 신경을 제거하는
신경치료를 꼼꼼하게 마무리하였으며,

 

충치로 인해 제거된 치아머리 일부를
단단한 레진으로 보강하여
형태를 다듬은 후
크라운 제작을 위한

인상채득을 진행하였습니다.

 

 

단단하면서도 치아와 유사한 색상을 가진
지르코니아 보철물로 마무리해 드렸습니다.

 

더불어 위턱에 시려 하셨던
양측 첫 번째 작은 어금니(#14,24)의
치경부 마모증 부위도
환.자분의 치아 색상과
유사한 색의 레진으로
깔끔하게 수복을 도와드렸는데요.

 

치료를 받은 치아인지 아닌지 모를 정도로
너무 자연스럽지 않나요?

 

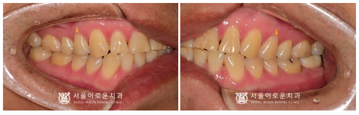
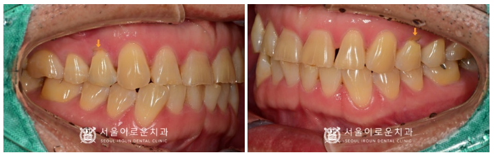
💛 전 > 후 💛

 

(2024.03.02ㅡ>2024.04.03)

 

환.자분께서는
위아래 시리고
아픈 증.상이 사라져 만.족해 하셨으며,

 

무엇보다 혹시나 치아를
발치하게 될까 봐 걱정하셨었는데
치료를 통해 살릴 수 있어 다행이라며
만.족해 하셨습니다.

 

이렇게 부천중동치과
서울이로운치과에서
과거 진행하였던 충전물 탈락과
2차 우식으로 인해
신경치료+크라운 수복을,

 

그리고 치경부 마모증 부위엔
레진치료를 도와드린
환.자분의 사례를
소개해 드렸는데요.

 

한번 치료를 받았던 치아라도
위생관리에 소홀하게 된다면
치아와 수복물의 미세한 틈 사이로
세균이 침범하게 되면서
다시 충치가 진행되기 쉽기 때문에

 

적절한 양치질과 치실, 치간칫솔 등의
구강 위생용품을 활용하여
구강 환경을 깨끗하게 해주는 것이 좋습니다.

 

또한 치경부 마모증이 생기는
치아의 허리 부분은 씹.는 면에 비해
법랑질이 얇기 때문에 방치하게 된다면
치아가 닳는 속도가 더 빨라질 수 있으며,

 

신경과도 더 가까이 위치해 있어
치경부 마모가 심해질 경우에는
신경이 노.출되어
신경치료 후 크라운을 씌워야 하거나
심한 경우에는 치아가 부러지는
경우도 생길 수 있습니다.

 

그렇기 때문에 정기적인 검진을 통해
기존 충전물이 탈락하거나
주변으로 2차 우식이 생기지는 않았는지

 

구강위생관리는 잘 되고 있는지
꼭 체크하여
충치가 생기거나
더 진행되기 전에
예방해주는 것이 필요합니다.

 

.

.

.

서울이로운치과에서는
일회성 진료가 아닌
지속적인 체크를 통하여
구강 질환 예방을 위해
힘쓰고 있으니,
믿고 내원해주시길 바랍니다!

 

 

* 모든 증례 사진은 의료법 제23조,
제56조에 의거하여,
당사자의 동의하에 게시하였습니다.

 

​* 치.료 사진은 모두 본.원에서 치료한
환.자분의 사진입니다.

 

​* 치.료 사진은 모두 동일인의 사진이며,
동일조건에서 촬영하였습니다.

 

* 개인의 차이에 따라
시.술 및 수술 후 부작용이 발생할 수 있으며,
의료진과 충분한 상.담을 받으시기 바랍니다.

서울이로운치과 바로가기

문의 전화

032-231-2275

네이버 예약

네이버 예약