부천중동치과 발치 즉시 임플란트를 하고 싶다면?

안녕하세요 😀
이에 좋은, 이로움을 알리는
서울 이로운 치과입니다.
오늘은 ‘발치즉시 임플란트’에 대해
소개해드리려 합니다. ^^
발즉 임플란트란?
당일 발치 후 바로 임플란트를
식립하는 것을 의미하는데요.
치료기한이 단축된다는 장점이 있으나,
상황에 따라 안정적이라는 판단하에
가능한 경우에만 시행하고 있습니다 🙂

왼쪽 아래 치아가 콕콕 쑤시고 불편하게 아파요.
왼쪽 위 어금니도 흔들리고 씹을 때 아파요.
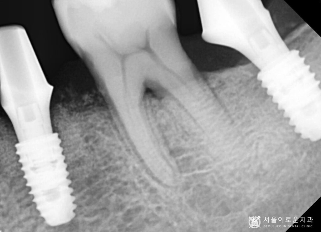
본.원에 처음 오셨던 60대 남성분의 사진입니다.
왼쪽 위에 큰 어금니를 보시면 과거 타원에서 신경치료를 했으나
뿌리 끝에 염증이 생긴 것을 알 수 있었습니다.
바로 옆에 위치한 어금니도 상태가 좋지 않았는데요.
치주염이 많이 진행되어
치아가 심하게 흔들리는 상태였습니다.
또한, 아래 양쪽 큰 어금니가 1개씩 상실된 상태였습니다.

여러 각도에서 촬영한 구내사진입니다.
임상검사결과,
왼쪽 위 큰어금니와 아래 작은어금니 2개 모두
씹을 때 통증을 느끼시고
치아가 많이 흔들렸습니다.
환.자분의 경우, 치주염이 상당수 진행되어
잇몸이 많이 붓고 내려간 상태셨는데요.
-치주염(periodontitis)이란?
잇몸에 국한되어 나타나는 염증성 질환인 치은염과 달리,
치은염이 악화되어 잇몸뼈와 치주조직까지 염증이 퍼진 상태를 말합니다.
환.자분께서는 치주염이 많이 진행된 상태로
잇몸뼈가 상당수 흡수되어
다수의 치아가 흔들리고 움직이는 상태셨습니다.

특히, 왼쪽 아래 통증을 보이셨던
작은어금니 중
첫번째 작은 어금니 (#34)는
바깥쪽으로 자라난 상태셨는데요.
공간이 충분하지 않은 탓에
통증을 보였던 작은 어금니 두개 모두 발치 후에는
임플란트 한개만을 식립하여 보철치료를 하기로 계획하였습니다!
또한, 발치와 동시에 임플란트를 즉시 식립하기로 계획하면서
발치 후 빈공간은 수술과정 중
뼈이식을 동반하여 임플란트가 잘 붙을 수 있게 계획하였습니다.

그런데, 치료에 앞서!
가장 먼저 시행한 것이 있는데요.
바로, 잇몸청소 ‘스케일링’ 입니다.
사진을 보시면 치아에
치석이 많이 침착되어 있는 것을
볼 수 있는데요.
스케일링을 통해 제거가 가능합니다 ^^
-스케일링(scaling)이란?
치면세균막, 치석 등을 제거하고
치아 표면을 활택하게 하여
침착물의 재부착을 방지하고
치주병과 같은 구강 질환을 예방하도록 하는
치료를 말합니다.
※환.자분께서는 스케일링과 더불어
치료예정인 왼쪽 부위에는
잇몸치료를 동반하였습니다.

수술에 앞서, CT 촬영을 시행하였습니다.
환.자분의 경우, 아래의 상태로
더욱 꼼꼼한 체크가 필요하였습니다.
1) 60대라는 점
2) 고혈압을 갖고 계신다는 점
3) 잦은 흡연을 하신다는 점
고혈압의 경우, 수술에 앞서
사전에 복용중이신 약물을 조절해
혈압을 정상수치로 유지해야합니다.
또한,
치과 마취주사액의 성분인
‘에피네프린’이 혈관을 일시적으로
수축하며 마취효과를 높혀주는데요.
이러한 마취성분이
혈관을 수축하여 혈압을 높힐 수 있기 때문에
고혈압 환.자의 경우
취약할 수 있어 각별한 주의가 필요합니다!
부천중동치과 서울이로운치과에서는
혈압체크 후 수술을 진행하였습니다 😀

4개의 치아를 발치한 뒤,
뼈이식을 동반한 임플란트를 바로 식립하여
촬영한 x-ray 사진입니다.
기존에 상실되어 없었던
왼쪽 아래 큰 어금니 부위에도
임플란트를 추가로 식립하였습니다. ^^
환.자분의 경우 치주염이 많이 진행된
상태로 잇몸뼈가 상당수 흡수되어
골이식을 동반하였는데요.
평소 잦은 흡연을 하신다는 것을 파악 후,
본.원에서는 흡연으로 인한
골유착 방해 등의 주의사항을
충분히 여러번 고지하여
골이식 임플란트의 실패가능성을
낮추고자 노력하였답니다~! 😄

이제 기다림의 시간입니다.
골이식한 인공뼈와 임플란트가
안정적으로 고정되기까지 약 3개월 이상의
시간이 필요합니다.
본.원에서는 골유착 안정도를 체크하기 위해
‘osstell beacon’이라는 장비를
활용하고 있는데요.
골유착을 확인할 수 있는 장비를 통해
뼈와 임플란트가 잘 결합하였는지
측정하여 확인 후
보철제작을 위한 인상채득을 하였습니다 🙂
부천중동치과 서울이로운치과에서는
‘구강스캐너’를 사용하고 있습니다.
구강스캐너는
다음과 같은 장점이 있습니다.

1) 기존에 흐름성이 있는 인상재로
본을 뜨는 방식이 아닌, 기계를 이용하여
입안을 스캔하기 때문에 인상재로 인한
불편감을 환.자가 느끼지 않아도 됩니다.
(ex- 5분동안 인상재를 물고 있어야 하는 것,
입과 주변에 묻어나오는 것,
인상재가 목구멍에 넘어가는 개깅현상 등)
2) 기계로 스캔하여 오차가 적고 속도가 빠릅니다.
3) 보철물 제작시간이 단축된다.

부천중동치과 서울이로운치과는
‘custom’ 맞춤형 어벗트먼트와
‘zirconia’ 지르코니아 수복물을 이용한
보철물을 제작하였습니다.
위에 x-ray 사진은 임플란트 상부에
custom abutment
( 커스텀 맞춤형 어벗트먼트)를
체결한 뒤 안정적으로 연결이 되었는지
확인하기 위해 촬영한 것입니다.
custom abutment는
사이즈가 정해진 기성 어벗트먼트와 달리,
맞춤형 제작으로 환.자분의
구강환경에 최적화되어 제작된 것으로
안정성과 편안한 느낌을 줍니다.

상부 보철물은
zirconia crown (지르코니아)을
하셨답니다.
지르코니아는 도자기 재질로,
단단함과 내구성이 좋아
자연치아의 강도와 가장 유사하고
심미적이라는 장점이 있습니다.
그럼, 치료 마무리 사진을 보실까요~??
환.자분께서는 이전에 흔들리고
씹을때 아팠던 상태가 사라져서
만족해하셨고
왼쪽 부위 치료가 마무리 되어
이제 오른쪽 잇몸치료 및 임플란트
치료예정인 상태이십니다. 😊
고혈압 및 전신질환이 있거나
발치즉시임플란트를 원하시는
환.자분의 경우,
안정적인 치료결과를
기대하기 위해서는
전신상태 및 구강상태에 대한
이해도가 높은,
임상경험이 풍부한 의료진이 있는 치과에서
치료받는 것이 중요합니다.
* 모든 증례 사진은 의료법 제23조,
제56조에 의거하여,
당사자의 동의하에 게시하였습니다.
* 치료 사진은 모두 본원에서 치료한
환자분의 사진입니다.
* 치료 사진은 모두 동일인의 사진이며,
동일조건에서 촬영하였습니다.
* 개인의 차이에 따라
시술 및 수술 후 부작용이 발생할 수 있으며,
의료진과 충분한 상담을 받으시기 바랍니다.