부천중동치과 임플란트 수술이 무섭고 걱정된다면?
안녕하세요.
원칙을 지키는 정직하고 바른 진료로
구강건강 회복을 도와드리는
부천중동치과
서울이로운치과 대표원장 이경중 입니다.
치아는 단순히 음식을 저작하고
심미적인 역할만 하는 것이 아니라
우리 건강과 삶의 질에도
깊은 영향을 미치고 있는데요.
그러므로 치아를 상실하였거나
통증이 있는 경우에는
일상생활에서 불편감을 주기 마련입니다.
불편함과 구강 내 상황이 더 악화되기 전에
빠른 시일내에 상실된 부위를
대체해주는 치료가 필요하답니다.
오늘은 부천중동치과 서울이로운치과에서
치아 통증으로
발치 후 임플란트 식립을 도와드린
환.자분의 사례를 소개해 드리겠습니다.

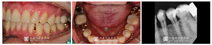
오늘 소개해 드릴 환.자분은
40대 여성분으로
오른쪽 위 어금니가 흔들려서
저작하기 힘들고 아프시다며
저희 치과를 찾아주셨습니다.
위턱 오른쪽 첫 번째 큰 어금니(#16)의
치아 뿌리 쪽으로 파절 되어있는 것을
확인할 수 있었고,
주변 잇몸뼈의 흡수가 심하고
동요도 또한 심한것을 체크할 수 있었습니다.

이 경우 살려 쓰기 어려울 것으로 판단되어
안타깝게도 발치가 필요한
상황이었습니다.

발치 후 임플란트를 고려해야 하는 상황인데,
뿌리 쪽 잇몸뼈의 흡수가 심해
남아 있는 뼈의 양도 작고,
상악동도 많이 내려와 있는 상황이었는데요.
이 경우 내려와있는 상악동을 올리고
뼈이식을 진행하는
‘상악동 거상술’을 동반한
임플란트 식립 계획을 수립하였습니다.

그리고 불편감을 호소하신
오른쪽 위턱 어금니 외에도
왼쪽 아래턱 송곳니(#33)와
바로 뒤 첫 번째 작은 어금니(#34)는
치아 사이 부분에서 충치가 관찰되었는데요.
충치의 범위와 진행 정도,
치아 검사를 통해
송곳니(#33)은 레진 치료,
첫 번째 작은 어금니(#34)는
신경치료 후 크라운 수복을
진행하기로 하였습니다.

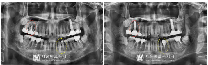
파노라마 뿐만 아니라
치근단 사진, 3D-CT를 통해
구강 내 해부학적 구조물과
상악동과의 거리 등을 파악하고,
임플란트의 식립 위치 및 방향 등
여러가지 사항을 고려하여
발치 후 수술을 진행하였답니다.
잔존 뼈와 상악동과의 수직적인 높이가
3mm가 채 되지 않아
상악동 거상술 중 ‘측방 접근법’을 활용하여
수술을 진행하였습니다.
상악동과
상악동 거상술이 무엇인가요?
* 상악동이란?
얼굴 중앙에 있는 부비동 중의 하나로
코와 광대뼈 사이의 안쪽에 자리 잡고 있으며
마치 풍선과 같은 얇은 막으로
둘러싸여 있는 텅 빈 공간인데요.
특히 위턱 어금니의 경우
잇몸뼈가 상악동의 바닥과
가깝게 있는 경우가 많아
상악동 점막을 들어 올리며
뼈이식을 동반하여 식립해야 합니다.
상악동은 아주 얇은 막의
공기주머니이기 때문에
들어 올리는 과정에서
점막이 손상 가지 않도록
주의하여야 하는데요.
그렇게 때문에 치아와
안면의 뼈 구조 까지도
잘 알고 있는 의료진이 시행해야 하며,
고난도의 수술이기 때문에
임상경험이 풍부한 의료진에게
수술을 받는 것이 좋습니다.
상악동 거상술의 방법에는
두 가지가 있는데요.

첫 번째는 치조정 접근법으로
잔존 뼈의 두께가 3mm 이상
남아 있을 경우 사용하는 방식으로
임플란트를 식립할 부위에 구.멍을 뚫어
상악동막을 들어 올리며 진행하는 방법으로
시야 확보는 어렵지만 절개 부위가 좁아
합병증은 적은 편입니다.

두 번째는 측방 접근법은
잔존 뼈의 두께가 1~2mm로
3mm 이하로 남은 경우 사용하는 방법으로
벽에 창문을 내듯이
임플란트를 식립할 부위의
볼 쪽 방향의 뼈에
구.멍을 내어 진행하는 방법으로,
시야 확보는 잘 되나 절개 부위가 넓어
붓기 등 합병증이 높은 편인데요.
환.자마다 치조골의 양과 질,
상악동 크기 등 차이가 있기 때문에
환.자분의 상황을 고려하여
가장 적합한 방식으로
진행하는 것이 중요합니다.

염증조직이 남아 있게 되면
잇몸뼈가 재.생되는데
방해가 될 수 있기 때문에
발치 후 염증을 말끔히 제거한 뒤
상악동 거상술 측방 접근법으로
충분한 뼈이식 후
임플란트 식립을 진행하였는데요.
이식한 뼛가루가
빠져나오지 않고 잘 아물 수 있도록
‘차폐막’으로 덮어 마무리해 드렸습니다.
술 후 파노라마와 3D-CT를 통해
상악동 거상술을 동반한 임플란트가
안정적으로 식립된 것을
체크하였답니다.

임플란트와 잇몸뼈가
단단히 결합될 때까지 충분히 기다린 뒤
보철과정까지 성공적으로
마무리 해드렸답니다.

더불어 오른쪽 임플란트 수술 후
픽스쳐가 잇몸뼈에
단단히 고정되기를 기다리는 동안
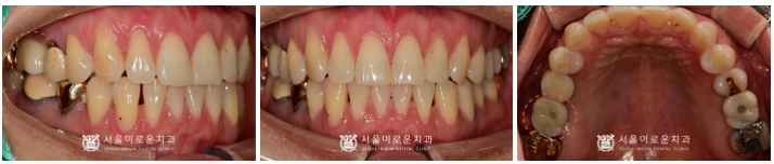
왼쪽 아래턱 치아 치료를 진행하였는데요.
송곳니(#33) 충치 제거 후 레진을
첫 번째 작은 어금니(#34)는
신경치료 후 크라운까지
깔끔하게 마무리해 드렸답니다.

서울이로운치과에서
모든 치료가 마무리 된 후
촬영한 파노라마 사진입니다.
임플란트 / 레진치료 /
신경치료 / 크라운치료를
모두 깔끔하게 잘 도와드렸답니다.
환자분께서는 처음 내원하셨을 때
타 치과에서 임플란트 수술 후
많이 붓고 아프고
잠도 못 잘 정도로 고생하셨다며
많이 걱정하셨었는데
서울이로운치과에서 수술은
통증도 거의 없고
피도 잘 멎어서 만족하셨다고
말씀해 주셨습니다.
또한 왼쪽 아래 충치 치료도
큰 불편함 없이 잘 마무리되어
편안하게 치료 잘 받으셨다며
서울이로운치과를 찾아오길 잘했다는
감사의 인사를 전해주셨습니다.
✅ 전 > 후 ✅

(2024.01.06ㅡ>2024.06.07)
오늘은 이렇게
상악동 거상술을 동반한 임플란트와
레진치료, 신경치료 + 크라운 수복을
도와드린 사례를 소개해 드렸는데요.
그냥 임플란트 식립도 무서운데
상악동 거상술을 동반한
임플란트를 해야 한다니
생소한 술식에 더 긴장하시는
환.자분들이 많으십니다.
상악동 거상술을 동반한 임플란트 식립의 경우
술자의 경험과 노하우가 중요하며,
환.자분들 께서도 수술 후
주의 사항을 잘 지켜주셔야
이식된 뼈가 자리를 잡고
튼튼하게 기능을 할 수 있답니다.
.
.
.
저희 서울이로운치과에서는
수많은 수술 경험을 토대로
안정적인 수술을 도와드리고 있으며,
수술 후 주의 사항도
꼼꼼하게 안내드리고 있습니다.
겁을 먹고 임플란트를 미루고 계신다면?
본.원에 내원해주시면,
만.족스러운 임플란트 결과로
편안한 식사를 하실 수 있도록 도와드리겠습니다.
항상 안정적이고 성공적인
치료 결과를 드리기 위해
최선을 다하겠습니다.
.
.
.
* 모든 증례 사진은 의료법 제23조,
제56조에 의거하여,
당사자의 동의하에 게시하였습니다.
* 치.료 사진은 모두 본.원에서 치료한
환.자분의 사진입니다.
* 치.료 사진은 모두 동일인의 사진이며,
동일조건에서 촬영하였습니다.
* 개인의 차이에 따라
시.술 및 수술 후 부작용이 발생할 수 있으며,
의료진과 충분한 상.담을 받으시기 바랍니다.
