서울이로운치과 앞니보철 새로 해야 할때는

안녕하세요 🙂
이로운 치료를 알리는
서울이로운치과입니다 😄
오늘 말씀드릴 증례는
‘앞니보철’ 입니다.
앞니는 대문니로 얼굴 한가운데에
위치하기 때문에 사람의 인상과
이미지를 결정하는 치아랍니다 😀

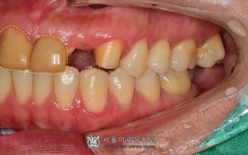
본원에 처음 오셨을 때의 구내 사진입니다.
“신장이식 때문에
대학병원에서 급하게
앞니 부분 임시치아 만들었어요.
임시치아가 부러져서
앞니 다시 하고 싶어요.”
환자분께서는 다음과 주소로 내원하셨는데요.
더불어 대학병원에서
임플란트 치료는 아직 받기 어렵다는
소견을 듣고 오셨습니다.

앞니 임시치아가 부분적으로 부러져 없고
치아 한 개는 결손된 상태셨습니다.
더불어 임시치아의 모양이나 색상이
부자연스러운 상태셨는데요.
부천시청앞니보철 서울이로운치과는
여러 상황을 종합적으로
고려하여 치료계획을 세웠습니다. 😄
다음과 같은 경우, 치아를 상실했을 때
임플란트로 빈공간을 채우는 것이
일반적이지만, 환.자분처럼 현재 임플란트가 어렵고
이미 과거에 브릿지 치료를 받으셨던
상태에서는 브릿지 치료가 더욱 심미적이고
좋은 치료결과를 기대할 수 있습니다. ^^

큰 앞니와 송곳니를 보시면
이전에 신경치료를 받으신 상태인 것을
알 수 있는데요.
임상증상이 없는 건전한 상태셨으나,
보철이 아닌 임시치아를
장기간 사용하면서
위생관리가 잘 되지않은 탓에
충치가 관찰되었습니다.
충치치료를 하지 않고
보철을 씌우게 되면,
우식이 계속 진행되면서
차후에 통증 및 염증을 유발하여
치료예후가 좋지 않기 때문에
우식 제거 후 레진으로
치아를 보강하기로 하였습니다!
그렇게 환.자분께 충분한 설명을 드린 뒤,
기존 앞뒤 치아에 보철을 연결해 사용하는
브릿지(bridge)를
진행하기로 하였습니다~! 😃
앞니는 시각적으로 잘 보이기 때문에
긍정적인 인상에도 영향을 주지만,
면을 자르거나 끊어먹을 때
주로 사용하기 때문에
기능적으로도 중요한 역할을 합니다! 😁
이제 보철(bridge)를 씌우면
치료가 마무리 되는데요~!

보철을 씌우기 전,
브릿지를 연결할 앞에 치아의 인접치 사이에도
충치가 있는 것을 발견했습니다.
보철을 씌우고 나면,
치아사이가 메꿔지기 때문에
충치를 발견하기도 어렵고
치료또한 어려운데요.
나중에 충치치료를 위해
브릿지를 제거해야 할 수도 있기 때문에
보철을 씌우기 전,
발견한 것이 천만다행이었습니다 👍🏻

충치가 심하지 않아, 우식부위를 삭제한 뒤
레진충전을 통해 치료를 바로 진행하였습니다 😀
지금까지 별다른 불편감을 못느끼신다며
레진으로 간단히 치료할 수 있어
만족해 하셨답니다 😀 👍🏻
이제 보철을 위해
치아를 깎아 볼까요~?

보철물을 씌우기 위해서는
보철이 들어갈 공간이 필요하기 때문에
불가피하게 치아를 삭제해야 하는데요.
이때, 의료진의 임상경력에 따라
보철 결과물의 퀄리티가 결정됩니다.
부천시청앞니보철 서울이로운치과에는
보건복지부인증 보철전문의이신
이경중 대표원장님이 계시는데요.
📝 보철전문의는 치과의사중에서도
단 4%만이 갖고있는 전문면허증이랍니다.

환.자분도 거울을 계속 보고 싶으시다며
브릿지 모양과 색상에
만족하셨던 치료 마무리 사진입니다~!
어떤 것이 본래치아이고
보철인지 구분이 가시나요~??

기존 치아색상과 자연스러우면서
모양과 치아 길이까지 비슷할 수 있도록
디테일까지 신경쓰는 서울이로운입니다.👍🏻
보편적인 케이스에 따른
똑같은 치료계획이 아닌,
환.자분의 상황에 맞는 치료계획이
이로운 결과를 만듭니다.
* 모든 증례 사진은 의료법 제23조,
제56조에 의거하여,
당사자의 동의하에 게시하였습니다.
* 치료 사진은 모두 본원에서 치료한
환자분의 사진입니다.
* 치료 사진은 모두 동일인의 사진이며,
동일조건에서 촬영하였습니다.
* 개인의 차이에 따라
시술 및 수술 후 부작용이 발생할 수 있으며,
의료진과 충분한 상담을 받으시기 바랍니다.