서울이로운치과 치아에 금이 간다면?

안녕하세요.
원칙을 지키며 진료하는
서울이로운치과 대표원장 이경중입니다 🙂
치아는 우리 몸을 이루고 있는
단단한 기관 중 하나이지만,
평소 딱딱한 음식을 즐겨 먹거나
이갈이, 이 악무는 습관 등의
반복적인 압력과 충격으로 인해
치아에 균열이나 파절이
생길 수가 있습니다.
처음에는 치아에 균열이 생겨도
별다른 증.상이 없다가
시간이 지나면서 음식을 씹을 때나
뜨겁거나 찬 음식을 먹을 때
통증이 나타날 수 있는데요.
치아 균열이 치아의 가장 단단한 부분인
바깥쪽 법랑질에 국한된 경우라면
신경치료 없이 보철치료만으로
치료가 가능하지만
균열이 신경 가까이 가게 되는 경우에는
신경치료가 필요하며
더 심해져 뿌리 쪽까지 진행되었다면
발치를 해야 하는 상황까지도
생길 수도 있기에
증.상이 있다면
초기에 치과에 방문하여
검진을 받아보시는 것이 좋습니다.
오늘은 서울이로운치과에서
치아 파절로 발치 후 임플란트를
진행하신 환.자분 사례를
소개해 드리겠습니다.

오늘 소개해 드릴 분은 60대 여성분으로,
오른쪽 위 송곳니 쪽에
딱딱한 음식을 먹었는데
치아가 갈라져서 흔들리며,
아프시다며
본.원을 찾아주셨습니다.
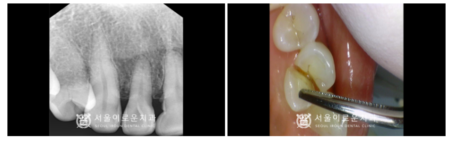
확인해 보았더니
노란색 동그라미 표시의
오른쪽 위 첫 번째 작은 어금니(#14)에서
불편감을 보이셨는데요.

x-ray 상으로는 크랙 라인이
또렷하게 관찰되지는 않지만
구내에서 확인하였을 때
상당히 깊게 크랙이
진행된 것으로 보였으며
타진 반응에도 통.증이 있었습니다.
안타깝게도 치아가 둘로 쪼개져
예후가 좋지 않아
발치를 해야 하는 상황이었답니다. (ㅠㅠ)
그리고 해당 치아 뿐만 아니라
다른 부위에서도
문제가 있는 부위들을
발견할 수 있었는데요…!

주황색 동그라미 표시의
오른쪽 위 두 번째 큰 어금니(#17)의
기존 보철하였던 치아가
동요도가 심하고, 뿌리까지 염증이
진행된 것을 확인할 수 있었습니다.
환.자분께 설명드렸으나
아직까지 불편감이 없어
좀 더 사용하시길 원하셔서
차후 통증과 같은
증.상이 나타나게 될 경우
발치 후 임플란트 치료 가능성을
설명해 드렸습니다.
그리고 주황색 화살 표시의
왼쪽 위 첫 번째 큰 어금니(#26),
왼쪽 아래 두 번째 작은 어금니(#35)와
첫 번째 큰 어금니(#36)엔
치아와 잇몸 사이인
치경부 부위가 움푹 파여있는
치경부 마모증을 관찰할 수 있었는데요.
치아가 패인 부분을
그냥 방치하게 되면 계속적으로
치아의 약한 부분들이 닳아져
신경과 가까워지게 되어
차후 신경치료가 필요하게 될 수도 있고,
더 심해지면 치아가 부러지는
경우도 생기게됩니다.
더 이상 마모되는 것을 막기 위해
닳아져 있는 부분을 치과 재료로
수복하시길 권해드렸고,
환.자분과 상의 후
레진으로 수복치료를 진행하기로 계획했습니다.

오른쪽 위 첫 번째 작은 어금니(#14)는
발치 후 염증조직을
깨끗하게 제거한 뒤
뼈이식을 동반하여
발치 후 즉시 식립을 도와드렸고,
임플란트와 뼈가
유착되길 기다리는 기간 동안
왼쪽 치경부 마모증 부위에
레진 수복을 진행해 드렸습니다.

그리고 임플란트 식립 후 2달 반 후에
뼈와 임플란트가 단단하게
결합이 잘 되었는지 확인하는
osstell beacon이라는 장비를 이용하여
골유착정도(isq)를 측정하였고,
안정 값을 확인한 뒤
보철 과정까지 마무리해 드렸습니다.

오른쪽 위 작은 어금니(#14) 부위의
임플란트 과정이 마무리되고 얼마 뒤
환.자분께서 첫 번째 큰 어금니 부위(#17)의
통.증을 호소하시며
다시 내원해 주셨는데요. (ㅠㅠ)
이전에 설명드렸던 대로
발치 후 임플란트를
진행하기로 계획하였습니다.
아무래도 염증이 심했던 부위라
발치 후 임플란트 즉시 식립은 어려워
염증을 깨끗하게 제거한 뒤
정기검진을 통해
발치 부위를 체크하였는데요.

주변 잇몸과 뼈가
잘 차오른 것을 확인한 뒤
발치 후 3달이 되는 시점에
뼈이식을 동반하여 임플란트를
식립해 드렸습니다.

임플란트 식립 후 2달 반 후에
osstell beacon이라는 장비를 이용하여
골유착 정도(isq)를 측정하여
안정 값을 확인한 뒤
보철물 과정을 진행하였습니다.

2개의 임플란트와 더불어
치경부 마모증 부위엔
레진치료를 모두 종결하였습니다!
서울이로운치과에서
성공적으로 치료를 마무리 해드렸답니다. ^^

환.자분께서 통.증이 사라져
만.족해하셨고,
수술도 편안하게 잘 받을 수 있어서
만.족했다고 말씀해주셨습니다.
✅ 전 > 후 ✅

(2024.02.22 ㅡ> 2024.08.02)
이렇게 임플란트 치료와
치경부 마모증 레진 수복 사례에 대해
소개해드렸는데요.
치아파절의 경우
파절의 범위 및 양상에 따라
살려서 쓸수 있는 경우도 있고
발치를 해야만 하는 경우가 있습니다.
이 환.자분의 경우
발치가 불가피한 경우였지만,
발치 없이 치아를 살려서
쓸 수 있는 경우도 있으니
치아가 부러졌다면
빨리 치과에 내원하여
치료를 받으시는 것이 필요합니다.
치아에 통.증이나 시림 증.상으로
불편함을 느끼신다면
방치하지 마시고
빠른 시일내에
서울이로운치과에 내원하셔서
정밀한 검사와
적절한 치료를 받아보시길 바랍니다.
환.자분들께
가장 이로운 치료를 도와드리기 위해
최선을 다하겠습니다.
.
.
.
* 모든 증례 사진은 의료법 제23조,
제56조에 의거하여,
당사자의 동의하에 게시하였습니다.
* 치.료 사진은 모두 본.원에서 치료한
환.자분의 사진입니다.
* 치.료 사진은 모두 동일인의 사진이며,
동일조건에서 촬영하였습니다.
* 개인의 차이에 따라
시.술 및 수술 후 부작용이 발생할 수 있으며,
의료진과 충분한 상.담을 받으시기 바랍니다.