서울이로운치과 치주질환으로 치아를 상실한다면

안녕하세요.
환.자분들의 이로운 삶을 위해 함께하는
서울이로운치과 대표원장 이경중입니다.
우리 입속의 잇몸은 치아를 지지해주는
역할을 해주고 있는데요.
잇몸 관리에 소홀하게 된다면
치아와 잇몸 사이의 틈으로
세균이 침략하게 되면서
치주 인대, 치조골(잇몸뼈) 등 주변 조직에
손상을 가하게 되어
치주 질환이 생기게 됩니다.
치주 질환은 진행 정도에 따라
치은염과 치주염으로 나눌 수 있는데요.
치은염은 주로 잇몸 연조직에만
국한되어 진행된 것으로
비교적 가볍고 빠르게 개선이 가능한 반면에
치주염은 이런 염증이 잇몸뿐만 아니라
잇몸뼈 (치조골) 주변까지
광범위하게 진행이 되는데요.
치주염이 심해질수록
치아를 잡아주고 있는 인대 역할을 해주는
치주 인대에 염증이 생기게 되고,
결국 치조골(잇몸뼈) 소실로 이어져
치아가 흔들리게 되고
더 나아가 발치를 해야 하는
상황까지 올 수 있습니다.
왼쪽 위아래 어금니의 불편감으로
서울이로운치과를
내원해 주신 환.자분의 사례를
통해 설명드리겠습니다!

오늘 소개해드릴 분은
70대 여성분으로
1년전부터
왼쪽 위아래 어금니가 흔들리고
씹.을 때 마다 아프시다며
전반적인 상.담을 원하셨는데요.

정밀한 검사를 위해
파노라마 사진을 촬영해 보았더니

✅ 불편감을 호소하셨던
빨간 동그라미 표시의
위턱 왼쪽 큰 어금니 두 개(#26,27)와
아래턱 왼쪽 첫 번째 작은 어금니(#34)는
치아 뿌리 끝까지 염증이 진행되어 있었으며
잇몸뼈가 녹아 동요도가 3도로
심하게 흔들리고 있고,
고름까지 나오고 있는 상태였는데요.
안타깝게도 이 경우에는
치아를 살려 쓸 수 없기 때문에
발치를 진행하기로 하였으며,
발치 후 염증조직을 깨끗하게 제거한 뒤
뼈이식을 동반한 임플란트 즉시 식립을
계획하였습니다.

더불어 타 치과에서 진행하셨던
아래턱 왼쪽 임플란트 주변으로는
임플란트 주위염이 관찰되었는데요.
✅ 특히 제일 앞쪽에 있는
주황색 화살표 표시의
아래턱 왼쪽 두 번째 작은 어금니(#35) 임플란트는
염증이 심한 상태라
임플란트 제거가 필요하였습니다.
✅ 보라색 화살표 표시의
아래턱 왼쪽 첫 번째 큰 어금니(#36)의 임플란트도
1/3 정도의 뼈 흡수 소견이 보이나
환.자분께서 유지관리하시길 원하시어
염증 제거 후 유지 관리하기로 했습니다.
✅ 아래턱 왼쪽 첫 번째 작은 어금니(#34)
임플란트를 식립 후에
보철물은 기존 어금니 임플란트(#36,37)와
연결하여 브릿지 형태로
제작해 드리기로 하였습니다.

먼저 위턱 왼쪽 어금니 두 개(#26,27) 발치 후
염증을 깨끗하게 제거해주었습니다.
염증이 남아있게 되면
임플란트가 단단하게 고정되지 못하고
추후 금방 탈락하는 등
부작용이 생길 수 있기 때문에
염증조직을 남기지 않고
깨끗하게 제거하는데 집중하였습니다.
염증조직 제거를 마무리하고
임플란트 즉시 식립 후
염증으로 인해 뼈가 흡수된 부분에
뼈이식을 같이 진행하였는데요.
뼈이식 후 차폐막을 대어
이식한 뼈가 빠져나오지 않고
안정적으로 자리 잡아
잘 유지될 수 있도록 해주었답니다.

그리고 아래턱 왼쪽 첫 번째
작은 어금니(#34) 발치와
두 번째 작은 어금니 임플란트(#35) 제거 후
마찬가지로 염증조직을
깨끗하게 제거한 뒤
(#34) 부위에
임플란트 즉시 식립을 진행하였으며,
해당 부위도 위와 마찬가지로
뼈이식 및 차폐막을 활용하여
수술을 진행했습니다.
또한 첫 번째 어금니 기존 임플란트(#36)는
치은박리소파술로
염증 제거를 도와드렸습니다.

임플란트 식립 후
임플란트와 치조골이 단단하게 결합되기를
3~4개월 정도 충분히 기다린 후
osstell beacon이라는
골 유착을 확인할 수 있는 장비를 이용하여
isq(골유착정도) 측정하여
안정 값을 확인한 뒤
보철물 제작 인상채득을 진행했습니다.
서울이로운치과에서는
인상채득시 환.자분께서 인상재로 인해
불편감을 느끼시지 않도록
구강 스캐너를 이용하여
인상채득을 도와드리고 있는데요.
구강 스캐너를 사용함으로써
인상 오차가 작고, 속도가 빠르며
보철물 제작시간을 단축시킬 수 있습니다.
* 치은박리소파술은
잇몸 안쪽 염증을 제거하기 위해
잇몸을 절개하여 박리시켜
해당 부위를 눈으로 직접 보면서
정.확하게 수술하는 방법으로
염증이나 감염 조직을 제거한 뒤
봉합하여 마무리하는 방법입니다.

환.자분 구강 내 상황에 맞는
맞춤형 지대주인
custom abutment를 체결하여
자연치아와 강도가 가장 유사하고
심미적인 지르코니아 크라운으로
임플란트 보철을 마무리해 드렸습니다.

뼈이식을 병행한
임플란트 치료를
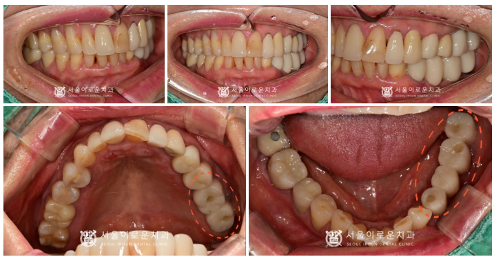
모두 마무리 한 구강 내 모습입니다.
환.자분께서는 이전에 흔들리고
씹.을 때 아팠던 상태가 사라져서
만.족해 하셨으며
아래턱 오른쪽 어금니 부위의 치료를
앞두고 있습니다.
✅ 전 > 후 ✅

(2024.01.26ㅡ>2024.07.29)
이렇게
서울이로운치과에서
임플란트 치료를 도와드린
환.자분의 사례를 소개해 드렸는데요.🤗
치아에 불편감이
느껴지기 시작하는 초기 단계에서는
정.확한 진.단을 통해
그에 맞는 적절한 치료가 이루어진다면
소중한 치아를 살릴 수 있지만
검진과 치료 과정 없이
장기간 방치하게 된다면
더 큰 치료로 이어질 수 있기 때문에
치아가 흔들리고
통.증이 느껴지기 시작한다면
방치하지 마시고
가급적 빨리 치과에 내원하시어
검진을 받아보시는 것이 좋습니다.
모든 치과 치료에는
타이밍이 중요합니다.
타이밍을 놓치게 되면
내 소중한 치아 또한
놓쳐버리게 될 수 있기 때문에
치아에 불편감이 생기신다면
가볍게 여기지 마시고
서울이로운치과에 내원하시어
상.담을 받아보시길 추천드립니다.
감사합니다.
.
.
.
* 모든 증례 사진은 의료법 제23조,
제56조에 의거하여,
당사자의 동의하에 게시하였습니다.
* 치.료 사진은 모두 본.원에서 치료한
환.자분의 사진입니다.
* 치.료 사진은 모두 동일인의 사진이며,
동일조건에서 촬영하였습니다.
* 개인의 차이에 따라
시.술 및 수술 후 부작용이 발생할 수 있으며,
의료진과 충분한 상.담을 받으시기 바랍니다.